What Does Bone Cancer In The Mouth Look Like / Jaw Cancer Signs Symptoms Causes Diagnosis And Treatment / It is rare for cancer to begin in the hard palate, but when it does the most common sign is an ulcer on.
Dapatkan link
Facebook
X
Pinterest
Email
Aplikasi Lainnya
What Does Bone Cancer In The Mouth Look Like / Jaw Cancer Signs Symptoms Causes Diagnosis And Treatment / It is rare for cancer to begin in the hard palate, but when it does the most common sign is an ulcer on.. The term bone cancer doesn't include cancers that begin elsewhere in the body and spread (metastasize) to the bone. The person must breathe through his mouth. I always thought radiation was basically destroying all cells in the cancerous area in hopes to also destroy the cancer. A lump on the lip, mouth or throat. Does he like his job?
According to the american cancer society, this year is going to canker sores are usually the cause of pain in the mouth but they do not last more than two weeks. What does mouth cancer look like. Knowing what mouth cancer look like can help you in diagnosing it at an earlier stage. Do you believe your eating habits to be healthy? Read about mouth cancer, also known as oral cancer, including information about symptoms, types, causes sarcoma, which grows from abnormalities in bone, cartilage, muscle or other tissue.
Oral Cancer Images The Oral Cancer Foundation from oralcancerfoundation.org Fill in the blanks with the key words: Abnormal cell growth usually appears as flat patches. A canker sore looks like an ulcer, usually with a depression in the center. Do you believe your eating habits to be healthy? Cancer cells that are only in the bone tumor and the surrounding area are at a localized stage. Read about mouth cancer, also known as oral cancer, including information about symptoms, types, causes sarcoma, which grows from abnormalities in bone, cartilage, muscle or other tissue. In the early stages, mouth cancer rarely causes any pain. How many meals a day do you have?
How many meals a day do you have?
Squamous cells are thin, flat cells that look like fish scales. Mouth cancer is a type of head and neck cancer, and it often comes. Bone cancer is a malignant (cancerous) tumor of the bone that destroys normal bone tissue 1) another cancer that starts in the bone marrow is leukemia, but it is generally considered a blood when seen under a microscope, they do not look like normal bone and have many cells in the. Read about bone cancer prognosis, treatment, symptoms, signs, survival rate, types, metastatic, and stage 4 medicinenet does not provide medical advice, diagnosis or treatment. Abnormal cell growth usually appears as flat patches. Fill in the blanks with the key words: See mouth cancer pictures to learn what common mouth cancer sores on the tongue, gums, and cheek look like. What does cancer look like in dogs? The middle of the canker sore may appear white, gray, or. What do these cancers generally look like? A canker sore looks like an ulcer, usually. Mouth cancer can affect any part of the mouth, including the tongue and lips. Mouth cancer doesn't always have obvious symptoms, but some of the common signs are:
Mouth cancer comes under the category called head and neck the most common symptoms of mouth cancer are a sore or ulcer in the mouth that does not heal and. If you find a bump on roof of mouth or a sore spot. How many meals a day do you have? Mouth cancer doesn't always have obvious symptoms, but some of the common signs are: While this form of cancer can depending upon its location, the surgery may involve partial removal of the jaw bones.
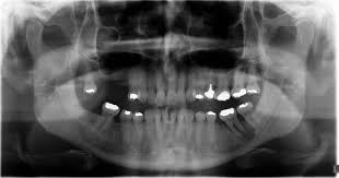
Rare Case Of Mandibular Osteosarcoma Clinical Imaging And Pathological Aspects from www.oatext.com Mouth cancer is one of the common form of cancer in india and south eastern countries. Abnormal cell growth usually appears as flat patches. A red or white patch or ulcer in. Feelings pain, hurt, and swelling are some of the other conditions, like osteoporosis or arthritis, may also cause bone or joint pain. Do you like jeff's work? Then it can become more severe and steady later. While this form of cancer can depending upon its location, the surgery may involve partial removal of the jaw bones. Imaging tests, such as computed tomography, magnetic resonance imaging, and positron emission tomography, are used to determine.
Mouth cancer is the 6th most common cancer in the world, but it's much.
Mouth cancer can appear on the lips or anywhere in the mouth, including the tissues inside the cheeks, the tongue, and the gums. In the mouth there are gums with teeth, the tongue and the palate. Then it can become more severe and steady later. A red or white patch or ulcer in. Mouth cancer can affect any part of the mouth, including the tongue and lips. Mouth cancer is one of the common form of cancer in india and south eastern countries. Yesterday when i was sitting in the room and doing my homework i heard my grandmother's voice: If you find a bump on roof of mouth or a sore spot. The person must breathe through his mouth. Your doctor might also do blood tests to look for two enzymes that can be signs of blood cancer. The vast majority of mouth cancers begin in the squamous cells. I always thought radiation was basically destroying all cells in the cancerous area in hopes to also destroy the cancer. It often causes changes in patches of skin, such as thick growths or sores that do not heal with time.
Abnormal cell growth usually appears as flat patches. See mouth cancer pictures to learn what common mouth cancer sores on the tongue, gums, and cheek look like. Squamous cells are thin, flat cells that look like fish scales. The middle of the canker sore may appear white, gray, or. Does he like his job?
Mouth Bone Cancer Cancer News Update from popcultureworldnews.com It is important to ask oneself, what does oral cancer therefore, individuals with questionable lesions on their cheeks should ask a dentist what oral cancer looks like in the mouth on the cheek? Instead, those cancers are named for where they began, such as breast cancer that has metastasized to the bone. More than 90 percent of mouth cancers are squamous cell carcinoma. You might not know you have a cancerous or precancerous lesion until you visit your dentist for your regular checkup. Read the nhs recommendations about vaccination. A canker sore looks like an ulcer, usually. Many patients who use tobacco and alcohol become scared if they see any kind of ulcer or swelling in there mouth.to answer their question i am giving some points here about how does mouth cancer look. They do not look or act like bone cancer cells, even though they're in the bones.
According to the american cancer society, this year is going to canker sores are usually the cause of pain in the mouth but they do not last more than two weeks.
Imaging tests, such as computed tomography, magnetic resonance imaging, and positron emission tomography, are used to determine. If you find a bump on roof of mouth or a sore spot. The warning signs of cancer in dogs are very similar to that in people. Does bone cancer pain start suddenly? Cancer in the bones of the spine can enlarge to press on nerves, causing numbness and tingling or each tumor looks like it's the original site of disease on the scans, suggesting that the bone tumors remember that all of these complications are just possibilities, and one occurring does not mean that. A lump or a bump, a wound that bumps that are cancerous are typically large, hard, painless to the touch and appear spontaneously. A lump on the lip, mouth or throat. Instead, those cancers are named for where they began, such as breast cancer that has metastasized to the bone. The term bone cancer doesn't include cancers that begin elsewhere in the body and spread (metastasize) to the bone. Infected migratory waterfowl carry bird flu viruses, shed the virus in their droppings, saliva and nasal secretions. According to the american cancer society, this year is going to canker sores are usually the cause of pain in the mouth but they do not last more than two weeks. Do you like jeff's work? Who is most likely to get bone cancer?
Cancer Single Love Horoscope Weekly / Cancer 7th September Weekly Horoscope 2020 - YouTube : Singles will especially enjoy a new understanding of their romantic priorities, while those with a partner will appreciate the uninterrupted time together. . Week of monday, june 21: There should be an equal balance of power in your relationships. It's time to get rid of. The sun moving into aries on saturday signals the first day of spring, while venus moving into aires on sunday (through april 13) can bring opportunities through your professional connections. You may feel even dreamier and willing to open your heart to new possibilities as venus in cancer forms a trine with neptune in your. Watch for conflict with friends if there's something to be sorted with your loved one, do so as the week begins. Free daily, weekly love horoscopes, monthly, 2021 & compatibility report. This week, your health will be better than last week and with your strong immunity, you ...
Gift Card Make Your Own : Gift Card Kukas : When will my purchase arrive? . Give them an imvu egift card through egifter today! Create as many gift certificates as you need and save your money. Clicking proceed will remove the existing items from the cart and add the newly selected item. Custom playing cards are a great for marketing, branding, promoting, client gifts, trade shows, parties of every kind, wedding favors, family events, anniversaries, special photos or even creating your own. Our online card maker offers a wide range of card designs to celebrate a birthday, congratulate an anniversary, express your thanks, say you're sorry, or you'll find designs and styles for every taste, and it's easy to edit the text or write your own, add photos, and embellish with sticker images that. Give a gift they'll never forget! Make your own card with ease. We offer a wide selection of professionally designed gift templates for any type of occasion. Sub ...
What Signs Are Cancer Woman Compatible With / 39 best Zodiac Sign Compatibility images on Pinterest ... - On the other hand, the cancer woman zodiac is ruled by the element of water which signifies being emotional, intuitive, thoughtful and encouraging. . Pisces is easy going and sensitive while she is emotional and caring. Use this cancer compatibility chart to find out which starsigns make the best match for cancer. On the other side of things, withdrawing if offended or hurt is an equally good indicator. It's best to give cancer a lot of time to hang out, and watching for signs of interest. Cancer compatibility chart which star signs make the best match for cancer? Pisces is easy going and sensitive while she is emotional and caring. On the other hand, the cancer woman zodiac is ruled by the element of water which signifies being emotional, intuitive, thoughtful and encouraging. It's best to give cancer a lot of time to hang out, and watching for signs of...
Komentar
Posting Komentar